Hét vraag- en antwoordplatform van Nederland

Wat is Hypercaptatie?

Wat betekent dit als je dit hebt in je rug en je hand en wat kan je daar aan doen?

Verwijderde gebruiker
4 jaar geleden
tinus1969
4 jaar geleden
Heb je dit met je arts besproken? Wat voor klachten en diagnoses heb je verder?
Verwijderde gebruiker
4 jaar geleden
Bedoel je hypercapnie of hypercarbie? Dit is een te hoog koolstofdioxide-gehalte (CO2) van het bloed.
Amadea
4 jaar geleden
Nee, SentWierda. Hypercaptatie is een bestaande medische term. Het heeft iets met botgroei te maken.
Verwijderde gebruiker
4 jaar geleden
@Amadea. De medische woordenboeken (Nederlands en Engels) melden niets over hypercaptatie.
Van Dale geeft wel verschllende betekenissen van captatie maar die zijn niet-medisch. Namelijk: testamentbedrog en (Vlaams) met de reportagewagen op pad gaan.
Verwijderde gebruiker
4 jaar geleden
@SentWierda ik bedoel wel degelijk hypercaptatie want dat staat zo in mijn verslag van mijn botscan. Net omdat ik het niet op internet vond en ik nog even moet wachten om bij mijn arts op raadpleging te gaan vroeg ik het even hier.
LeonardN
4 jaar geleden
@SentWierda Gebruiik eens Google en zie dat er meerdere resultaten verschijnen over hypercaptatie ivm medische klachten. https://www.google.com/search?client=opera&q=Hypercaptatie&sourceid=opera&ie=UTF-8&oe=UTF-8 Dat je een woord niet vind in een woordenboek betekent niet dat een woord niet bestaat.
Verwijderde gebruiker
4 jaar geleden
@LeonardN. Ik had ook Google geraadpleegd en kreeg niet uitgelegd wat hypercaptatie is. Als bovendien dikke medische woordenboeken (Coëlho + Carpenito + Kerkhof) dit woord niet kennen, zegt dat toch wel iets.
Tot nu toe heb ik geen GV-antwoord gezien.
LeonardN
4 jaar geleden
Het gaat erom dat het woord bestaat.
Dat er geen uitleg te vinden is en geen antwoord verkregen wordt zegt niks.
Ik snap je punt niet.
Er zal vast een medicus zijn die het zo kan uitleggen, alleen die zal niet op GV zitten.

Heb je meer informatie nodig om de vraag te beantwoorden? Reageer dan hier.

Geef jouw antwoord

Het is niet mogelijk om je eigen vraag te beantwoorden Je mag slechts 1 keer antwoord geven op een vraag Je hebt vandaag al antwoorden gegeven. Morgen mag je opnieuw maximaal antwoorden geven.

/
Geef Antwoord
+
Selected image

Antwoorden (1)

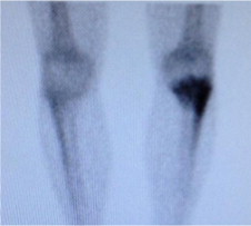
Hypercaptatie betekent verhoogde opname van iets. Bij een botscan kan dit een verhoogde opname van radioactieve stoffen betekenen.
Nucleair geneeskundigen gebruiken radioactief materiaal om vast te stellen of organen goed functioneren en om in röntgenfoto’s in een vroeg stadium kankergezwellen op te sporen.
Wat dit betekent voor je rug en hand, kan alleen je behandelend arts uitleggen.
(Lees meer...)
avatar image
SimonV
4 jaar geleden
Verwijderde gebruiker
4 jaar geleden
Compliment voor de drie bronnen; ik mis nog een Nederlandse bron.
Hyper betekent: een verhoogd gehalte (van iets). Dat is duidelijk.
Captatie betekent: zelfbevoordeling, zelfverrijking.
Maar wat is dan de betekenis van hypercaptatie?
LeonardN
4 jaar geleden
@SentWierda "Maar wat is dan de betekenis van hypercaptatie?"
Dat staat toch in het antwoord.
"Hypercaptatie betekent verhoogde opname van iets."
Is ook gewoonweg niet veel meer dan de optelsom van de delen. Een Engelse bron die de uitleg duidelijk maakt is prima.
Deel jouw antwoord

Het is niet mogelijk om je eigen vraag te beantwoorden Je mag slechts 1 keer antwoord geven op een vraag Je hebt vandaag al antwoorden gegeven. Morgen mag je opnieuw maximaal antwoorden geven.

/
Geef Antwoord
+
Selected image
logo van Kompas Publishing

GoeieVraag.nl is onderdeel van Kompas Publishing